051-861-7575
연산당당한방병원은
언제나 여러분들
곁에 있습니다.
  • 상호명 : 연산당당한방병원
  • 대표자 : 성진욱
  • 사업자등록번호 : 154-59-00644
  • 주소 : 부산광역시 연제구 월드컵대로 82, 1~8층

척추측만증

체형 불균형 자가 진단법! 척추측만증과 골반 비틀림 쉽게 확인하는 방법

체형 불균형 자가 진단법! 척추측만증과 골반 비틀림 쉽게 확인하는 방법

[닥터스] 척추측만증의 원인이 평발에 있다?! 진실일까?

[닥터스] 척추측만증의 원인이 평발에 있다?! 진실일까?

중증도 이상의 척추측만증 환자는
성장이 멈춘 이후에도
해마다 1~2도씩 더 틀어집니다.

측만증 치료, 늦었다고 생각할 때가 가장 빠릅니다!

초등학교 저학년 ~ 중학교 3학년

척추측만증 치료의 골든타임은
2차 성징이 끝날 때까지 입니다.

어린 분재가 원하는 모양으로 키우기 쉽듯이, 측만증은 성장기에 교정 효과가 제일 큽니다.
공부를 핑계로 치료 시기를 놓치면 급성장기 때 빠르게 악화되어 돌이킬 수 없습니다.
때문에 초등학교 저학년까지 한번은 측만증 검사를 해 볼 필요가 있습니다.

평생 써야 하는 척추, 건강관리의 핵심입니다.

측만증, 보조기 꼭 착용해야 할까요?
원인을 찾아 치료한다면 개선할 수 있습니다.

아직 틀어진 각도가 10도 미만이니, 조금 더 기다려 보자
10도가 넘어가면,
20도가 될 때까지 기다려 보자
20도가 넘어가면
보조기 착용하고 기다려 보자

언제까지 기다리기만 하실 건가요?

틀어진 각도가 10도 미만일 때,
더 나빠지기 전에
10도가 넘어가면,
20도까지 틀어지지 않도록
20도가 넘어가면,
보조기를 벗을 수 있도록

연산당당은
적극적으로 치료합니다.

단순히 뼈가 틀어지는 문제가 아닙니다.

척추측만증의 원인은 다양합니다.

복합적인 원인으로 발생하며, 원인 불명인 경우도 많습니다.

기능적 측만증

바로 선 자세에서 척추가 휘어져 있고, 상체를 숙였을 때 척추가 바르게 되는 것을 말하며,
자세 불량으로 인한 증상입니다. 뼈는 변형이 되지 않으나, 근육의 불균형을 초래합니다.
전 연령층에 생길 수 있으며, 다리길이의 차이, 자세 이상이 외관상으로 표시가 날 수 있고,
허리 통증을 동반하기 때문에 꾸준한 치료가 필요합니다.

구조적 측만증

골격 자체의 문제로 인해서 측만증이 생기는 경우입니다.
예를 들어, 다리 길이의 차이, 골반의 불균형, 몸체의 좌우면의 성장의 길이가 다를 때, 근육질환 또는 신경질환으로 척추가 휘는 측만증입니다. 성장기가 지나고 노화기에 근육와 약화로 더 많이 틀어질 수 있으며, 퇴행을 가속화시켜 근골격계 질환의 원인이 되기도 합니다.
또한 심폐기능에 이상을 가져오기 때문에 적극적인 치료가 필요합니다.

특발성 측만증

척추측만증의 대략 80% 정도가 특별한 원인 없이 척추가 서서히 휘는 특발성 척추측만증입니다. 대부분 10세 전후에 시작되어, 남아보단 여아에게 더 많이 발생하고 있습니다.
외형 변화 이외에는 나타나는 증상이 없어 조기에 발견하고 치료하는 것이 매우 중요합니다.

선천성 측만증

측만증의 약 10%를 차지하며, 선천적 척추 기형으로 발생하는 척추측만증입니다.
보통은 어린 나이부터 시작하여 척추 휘어짐이 심하고, 성장과 동시에 진행되는 것이 특징입니다.
따라서 어린 나이에 조기 검진을 통한 척추측만증 발견이 필요합니다.

척추측만증, 정말 뼈만 보고 치료해야 할까요?

측만증 환자의 공통점!

대부분 여아 / 근력 부족 / 소화기 기능 저하 / 운동 부족 / 햇볕을 쬐는 시간 부족

해답은 겉과 속을 함께 보는
당당의 측만증 치료!
측만증 환자들은 대부분 소화 기능 저하로 단백질 흡수 능력이 떨어지며, 햇볕을 쬐지 않아 비타민D가 부족하고, 운동 부족으로 근력이 약합니다. 때문에 체성분 검사, 소화 기능 검사, 비타민D, 칼슘, 마그네슘 등 영양 상태를 점검하는 혈액 검사 및 근력 검사를 함께 진행하여 문제점을 개선해야 합니다.

3차원 척추교정이란?

척추의 틀어진 방향과 휘어진 각도는 사람마다 모두 다릅니다.
옆, 앞, 뒤가 각자 틀어지고 꼬인 척추의 변형은 각도와 방향 모두를 고려한
3차원 척추 교정으로 바로잡아야 합니다.

정면, 측면 시각에서 틀어진 방향
척추 만곡의 각도
척추뼈 마디의 회전 변형

틀어진 척추, 혼자 고치려고 노력하셨나요?

운동은 척추 교정 후 강화 및 유지 치료로 진행되어야 합니다.

원인을 먼저 치료해야 합니다.
  1. 운동이나 마사지를 통해 일시적 뻐근함을 풀어도
    원인을 제거하지 않으면 통증은 재발
  2. 자신에게 맞지 않는 고강도 운동, 무리한 동작 시
    통증이 심해지거나 척추의 틀어짐을 가속화
01

원인을 찾는 교정 치료

족부교정깔창과 턱관절 교정장치
상향 패턴인지 하향 패턴인지 파악하고
교정하는 교정보조 장치
추나 - 도수 복합 치료
척추, 관절, 근육의 긴장을 풀고 신경을 자극하여 틀어진 부분을 바로 잡아 통증 완화와 척추교정
나쁜 생활습관 교정 (DSM치료)
척추 휘어짐을 유발하게 한 나쁜 생활 습관을
교정해 뇌가 바른 자세를 기억 할 수 있게 도움
02

근육 강화와 자세 유지

슈로스(쉬로스) 운동요법
인체의 3D 입체 패턴 분석을 통해 척추의
틀어짐을 바로잡는 독일식 재활 운동치료법
약한 자세유지근 강화운동
척추를 지탱하고 있는 자세유지근을
강화해 척추 주변의 지지대를 강화
유지관리 (홈티칭)
집에서도 간편하게 할 수 있는 운동법을
처방하여 관리 및 유지 가능

척추측만증을 깊이 있게 치료하는 노하우!
겉뿐만 아니라 속까지 치료하는 기술이 필요합니다.

know-how 01.

소화기능 개선 한약치료

삼출건비탕, 향사육군자탕, 사군자탕 등의 소화기능 개선이 입증된 한약 복용으로 단백질 및 영양소의 흡수율을 개선하여 근육량을 증가시킵니다.

know-how 02.

침 치료

횡격막과 장요근 내부 장기의 긴장을 완화시키는 혈자리에
침 치료
를 통하여 척추를 틀어지게 만드는 복부 앞쪽의 긴장 요소를 해결합니다.

know-how 03.

내장기 추나요법

침 치료에 거부감이 있으신 경우, 내부 장기와 장요근 등의 긴장을 내장기 추나요법을 통하여 통증 없이 이완합니다.

know-how 04.

주사 치료

주사를 통해 비타민D 부족을 개선하여, 뼈를 튼튼하게 하고 성장기의 경우 뼈의 성장 속도를 높입니다.

know-how 05.

영양 수액

혈액 검사를 통해 부족한 영양소를 진단하고, 칼슘, 마그네슘, 철분, 인 등 뼈 성장에 필수적인 영양소를 보충 합니다.

참기 힘든 당장의 통증까지 개선합니다.

다양한 침(針), 물리치료
긴장된 근육을 풀고 통증을 조절해
근육의 이완과 신경 기능의 회복
천연 생약성분의 약침치료
소염 작용을 통해 염증 제거를 돕고,
손상된 근육, 힘줄, 인대의 기능 회복
증상별 한약치료
복부·횡격막 긴장과 압력 제거, 심부근육이완, 근육·인대의 강화, 자율신경 안정화, 교정 후 순환량의 증가로 생기는 체내 독소배출, 통증 개선

당당의

1단계

근육과 근막의 긴장을 풀고
막힌 경락을 푸는 단계

2단계

막힌 기혈을 소통시켜 혈액순환을 원활히 하고
뼈와 근육을 튼튼하게 하는 단계

3단계

관절과 척추를 원 위치로
회복 시키는 단계

틀어진 구조를 바로잡으면
기능은 회복되고, 2차 질환을 예방합니다.

비절개, 비수술로 부작용 걱정 없음
어린이, 노약자도 편안한 치료
치료 중 통증의 최소화
원인 모를 통증 개선
건강한 척추로 신체 균형 회복
바른 체형과 자세로 동작, 움직임 개선
척추, 관절, 근육 등 근골격계 회복 및 강화
목, 어깨, 허리 등 전신 통증 호전
호흡, 소화불량 등 내과 질환 개선
성장 방해 요인 개선 숨은 키 찾음

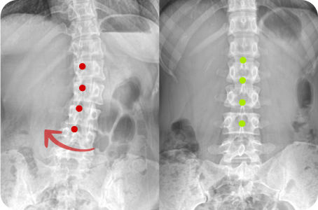
당당 검사 프로세스

우리의 몸은 바른 자세를 유지하기 위해 눈, 귀, 턱, 피부, 척추관절, 족관절 6개의 축으로 이루어진 자세 센서가 있습니다.
불균형의 원인이 되는 여러 자세 센서들을 전반적으로 검사합니다.

몸 전체를 보는 시각으로 겉의 원인을 정확하게 찾습니다.

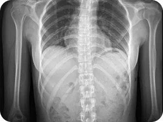
척추 엑스레이 검사
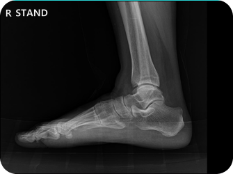
족부 엑스레이 검사
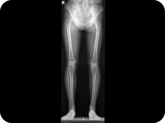
다리길이 엑스레이 검사
모아레 근육 균형 검사
상부경추 1,2번 CT
적외선 체열검사
목 커브와 휘어짐 측정
좌우 어깨 높이와 틀어짐 측정
좌우 골반 수평 및 비틀림 측정
흉추,요추 만곡/ 척추 휘어짐 측정
족저경 검사
휜다리 증상 확인
보행분석검사
운동기능검사

눈으로 보이지 않는 곳의 원인까지 찾아내 치료합니다.

혈액 검사
맥진∙설진∙복진 검사
체성분 검사
근력 측정 검사

나도 혹시? 미리 체크해보는 자가진단 테스트

척추측만증 자가진단 테스트

  • 머리가 기울어진다.
  • 앞에서 봤을 때 가슴 크기가 다르다.
  • 한쪽 어깨 처진다.
  • 한쪽 견갑골이 튀어나온다.
  • 좌우 팔과 몸통 사이의 간격이 다르다.
  • 등고랑(척추선)이 S자로 휘었다.
  • 골반 높이가 다르고, 한쪽 엉덩이가 더 높다.
  • 만성통증이 있다.
  • 소화불량이 있다.
  • 만성피로가 있다.
  • 심폐기능의 이상이 있다.
  • 두통이 있다.
0개에 해당합니다.
위 증상에서 3가지 이상 해당 시 척추측만증의 가능성이 높은 편이니, 진료를 받아보시기 바랍니다.

아담스 테스트 자가진단

  1. 똑바로 선 상태에서 등을 90도 정도 앞으로 구부립니다.
  2. 엉덩이 쪽에서 관찰합니다.
  3. 등이 휘거나 갈비뼈가 한 쪽만 튀어나오면 척추측만증을 의심해 볼 수 있습니다.
척추측만증의 골든타임, 놓치지 마세요.
처음 발견 했을때가 가장 치료하기 좋은 시기입니다.
겉과 속을 함께 보는 3차원 척추 교정으로 건강한 미래를 선물해드리겠습니다.
다시 생각해도 척추측만증 치료
연산당당한방병원입니다.
Q&A

모든 궁금증,
연산당당이 풀어드립니다.

척추측만증은 반드시 수술을 해야 하나요?
척추측만증은 모든 환자에게 수술이 필요한 것은 아닙니다. 척추의 만곡(휘어진 정도)이 심하지 않고 통증이나 기능 문제가 없다면, 비수술적인 치료가 우선 권장됩니다. 40도 이하의 측만증은 보통 약침, 추나 치료, 교정운동 등을 통해 만곡 진행을 억제하고 통증을 완화하는 데 초점이 맞춰집니다. 만곡 각도가 50도 이상인 경우 내부 장기(폐나 심장)에 영향을 줄 수 있어 수술을 고려해야 합니다. 개인의 증상, 나이, 진행 속도 등을 평가한 후 상담을 통해 최적의 치료 방법을 결정하시기 바랍니다.
척추측만증에 한의학 치료가 어떻게 도움이 되나요?
척추측만증으로 인한 통증 완화, 근육 불균형 교정, 그리고 척추 주변 조직 회복에 한의학 치료가 도움이 될 수 있습니다. 대표적인 추나요법은 틀어진 골반과 척추를 부드럽게 조정하여 신체 균형을 맞추며, 약침이나 침 치료는 염증을 줄이고 근육의 긴장을 완화시켜 통증 경감을 돕습니다. 또한 한약 치료를 통해 척추 주변의 혈액순환을 개선하고 근육과 인대의 회복력을 높여 척추 안정성을 강화하는 데 기여할 수 있습니다. 특히 초기나 경도 측만증 환자들에게 한방 치료는 만곡이 심해지는 것을 예방하고, 수술 없이 건강한 상태를 유지하도록 돕는 데 효과적입니다.
척추측만증은 운동으로 교정이 가능한가요?
척추측만증은 경도에서 중등도의 경우 운동을 통해 일정 부분 교정 효과를 기대할 수 있으며, 척추 건강을 유지하는 데 운동은 중요한 역할을 합니다. 특히 코어 근육 강화 운동과 척추-골반 정렬 운동은 척추 주변 근육을 강화하고 불균형을 개선하는 데 도움을 줍니다. 예를 들어, 슈로스(Schroth) 운동은 척추측만증 환자를 위해 고안된 재활 운동으로, 올바른 호흡과 자세를 통해 척추 만곡을 완화하는 데 효과적입니다. 다만, 이미 만곡 각도가 커졌거나 증상이 심한 경우 운동만으로는 교정이 어려울 수 있습니다.
척추측만증이 심해지면 어떤 문제들이 생기나요?
첫째, 척추의 만곡이 심해질수록 허리 통증, 어깨 높이 차이, 골반 틀어짐 등 신체적 불균형이 악화됩니다.
둘째, 척추가 크게 휘어지면서 폐나 심장과 같은 내부 장기를 압박하여 호흡 곤란이나 소화 장애 등 주요 장기의 기능에 영향을 미칠 수 있습니다.
셋째, 심한 경우 척추 주변 신경이 눌려서 다리 통증, 저림, 근력 저하 등 신경 압박 증상이 발생할 수 있습니다.
넷째, 외형적으로는 척추와 자세의 비대칭이 더욱 두드러져 심리적 스트레스나 자존감 저하로 이어질 수도 있습니다.
조기 치료를 통해 척추 만곡이 진행되는 것을 막는 것이 중요합니다.
척추측만증 진단을 받았을 때 꼭 교정기를 착용해야 하나요?
교정기 착용 여부는 척추측만증 만곡 정도, 나이, 성장 단계에 따라 결정됩니다. 보통 25~40도 사이의 만곡을 가진 환자들은 만곡의 진행을 억제하기 위해 교정기를 권장받습니다. 성장기 청소년의 경우 척추가 성장하면서 만곡이 더 심해질 가능성이 크기 때문에 교정기 착용이 더 중요합니다. 하지만 청소년인 경우도 실제 다리길이 차이로 인한 골반높이 차이로 측만증이 진행될 경우 교정기가 효과가 없을수도 있으며 척추 성장이 이미 멈춘 성인의 경우, 교정기 효과는 제한적일 수 있습니다. 교정기 착용 여부와 사용법은 반드시 전문가와 상의 후 결정하는 것이 좋습니다.

연산당당한방병원
Before & After

해당 사진은 수정없는 실제 치료사진입니다.
환자의 치료결과는 환자의 상태, 치료방법 등에 따라 차이가 발생할 수 있습니다.

찾아오시는 길

부산광역시 연제구 월드컵대로 82, 1~8층

건물 주차장 무료 이용 가능합니다.

지하철 이용 시

1호선3호선 연산역 6번 출구에서 도보 460m

버스 이용 시

51번, 189번
  • 반도보라아파트
    하차 후 약 240m 거리 (물만골 방향)
  • 연산초등학교
    하차 후 약 200m 거리 (연산역 방향)

내원 전 간편하게 예약하세요!

홈페이지 내에 있는 모든 사진, 이미지, 디자인, 페이지에 대한 저작권 등의 권리는 연산당당한방병원에게 있습니다.
따라서 연산당당한방병원의 허락 없이 표절, 무단도용, 재편집을 금지합니다.

빠른상담

상담 신청을 위한 정보를 남겨주시면
보다 빠른 상담이 가능합니다.

로그인 후 이용해주세요.