051-861-7575
연산당당한방병원은
언제나 여러분들
곁에 있습니다.
  • 상호명 : 연산당당한방병원
  • 대표자 : 성진욱
  • 사업자등록번호 : 154-59-00644
  • 주소 : 부산광역시 연제구 월드컵대로 82, 1~8층

평발교정

[통사장]  평발인 사람들이 꼭 봐야할 영상 │평발이 위험한 이유 10가지 , 1탄

[통사장] 평발인 사람들이 꼭 봐야할 영상 │평발이 위험한 이유 10가지 , 1탄

[통사장] 내가 평발이라면 이영상 꼭본다 │평발이 위험한 이유 10가지 , 2탄

[통사장] 내가 평발이라면 이영상 꼭본다 │평발이 위험한 이유 10가지 , 2탄

[통사장] 평발인 사람들 모여라, 발이 편한 신발 선택법 6가지│feat. 맞춤형 깔창에 적합한 신발 고르기

[통사장] 평발인 사람들 모여라, 발이 편한 신발 선택법 6가지│feat. 맞춤형 깔창에 적합한 신발 고르기

[닥터스] 평발이 무릎통증과 허리디스크를 유발한다?!

[닥터스] 평발이 무릎통증과 허리디스크를 유발한다?!

평발 교정 방치하면
온몸이 무너진다!

평발은 가장 흔한 발의 변형으로 발바닥의 안쪽 아치(arch)가 비정상적으로 낮아지거나 소실되는 변형을 말합니다.

하지만 평발은 단순히 발의 변형으로 끝나지 않고 무게 중심을 앞으로 무너뜨리며, 보행시 다리를 안으로 회전시키고 골반을 앞으로 기울어지게 하는등 전신 자세를 무너뜨려 척추와 관절 질환을 유발하는 주요 원인이 됩니다.

평발을 방치하면
이렇게 됩니다.

▲ 상향패턴
  • 조금만 걸어도 발바닥이 쉽게 피로해지고 통증이 나타난다.
  • 발목이 안쪽으로 꺾여 있어 쉽게 삐거나 다친다.
  • 발목과 무릎, 고관절의 통증이 동반된다.
  • 족저근막염, 지간신경종, 무지외반증, 아킬레스건염 등과 같은 족부 질환을 야기한다.
  • 2~3번째 발가락 아랫부분이나 엄지발가락 안쪽에 굳은살이 생긴다.
  • 발목과 무릎, 고관절 정렬이 틀어지면서 휜다리를 유발한다.
  • 허리디스크를 유발한다.

제 2의 심장인 발
이래도 방치하시겠습니까?

몸속 혈액의 40%는 심장부터 발끝까지 온몸을 돌아 순환하는데, 이때 발이 ‘제2의 심장’처럼 다시 심장으로 혈액을 보내줍니다.

하지만 평발은 발바닥의 근육을 약화하고 종아리 근육을 뻣뻣하게 만들어 혈액을 심장으로 돌려보내는 기능을 방해해 전신 건강을 위협합니다.

평발교정 골든타임 5세~13세 까지입니다.

태어나서 발 아치가 만들어지는 5세까지는 평발을 지켜보되 5세가 넘어면 스스로 좋아지지 않기 때문에 꼭 진료를 봐야 합니다.

오히려 성장기에 체중이 늘고 터벅터벅 걸으면서 나빠지는 경우가 많습니다.

발 아치는 12~13세 때 완성되기 때문에 13세 이전이라면 평발의 완전 교정을 목표로 치료하지만 13세 이후라면 어느 정도의 호전과 통증 완화 및 자세 교정을 목표로 치료를 진행합니다.
평발 교정을 제대로 하고싶다면 13세 전에 데리고 오셔야 합니다.

평발 VS 요족

평발은 가장 흔한 발의 변형이며 발바닥 안쪽의 아치가 비정상적으로 낮아지거나 소실되는 변형으로 유연성 평발은 교정의 대상이지만 강직성 평발은 교정의 대상이 아닙니다.

평발

  • 유연성 평발

    체중을 지지하고 있을 때는
    발이 편평해지지만,
    체중을 싣지 않으면 아치가 나타납니다.

  • 강직성 평발

    체중 부하와 상관 없이
    발이 편평한 형태를 유지합니다.

요족

까치발이라고도 하며, 평발과 반대로
발의 아치가 비정상적으로 높아진 변형

아치가 높아 체중이 골고루 분산되지 못하고 발뒤꿈치와 앞쪽에 쏠려
여러 증상이 나타납니다.

이제는 하세요!

연산당당한방병원의 평발 검사 프로세스

족압분석 검사
스텝랩 보행검사
족저경 검사
경골 및 종골 각도 검사
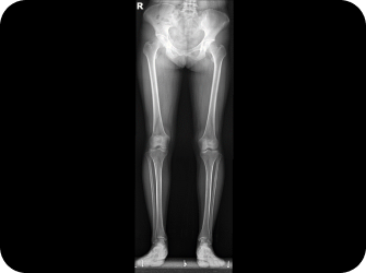
전신 엑스레이 검사
다리길이 엑스레이 검사
근육등고선 모아레 근육 균형 검사

연산당당한방병원의 평발 교정 프로세스

카이프론 맞춤깔창
발의 아치를 활성화하고
압력 분산
도수치료
하지 근육, 근막의 긴장 이완 및
발 아치 활성화
물리치료
발바닥 내재근 활성화
근긴장도를 낮추는 전기 자극 치료
발 아치 만들기 치료
발 아치 만들기 운동을 통해
올바른 보행 자세 교정
침/전침 치료
족부 관절 스트레스로
경직된 종아리 근육 이완
근이완 약침 치료
심부 종아리 근육을
약침으로 긴장 완화
추나요법
전신 근육 긴장과
관절의 틀어짐 바로 잡음
보행패턴 교정
안짱걸음, 팔자걸음,
터벅걸음, 까치발 보행 교정
프랑스
카이프론사 제휴
질환별, 착화별
맞춤 깔창
열성형 기법
재성형 용이

연산당당한방병원의
맞춤 깔창

▲ 연산당당한방병원 맞춤 깔창

당신의 발 지금 이대로 괜찮으신가요?
평발을 방치하면 무릎, 골반, 척추까지 영향을 미쳐 전신 통증이 발생할 수 있습니다.
더구나 소아는 성장기를 지나면 교정이 더욱 어렵습니다.

20년 경력 족부교정 의료진이 3D 발 스캐너와 보행 분석장비로 꼭 맞는 맞춤 치료를 제공해드립니다.
건강한 미래를 위한 발걸음,
연산당당한방병원에서 시작하세요.
Q&A

모든 궁금증,
연산당당이 풀어드립니다.

족저근막염, 무지외반증이 심해서 평발이라고 진단받았는데 교정용 깔창이 도움이 될까요?
족저근막염과 무지외반증을 동반한 평발의 경우, 교정용 깔창(인솔)은 증상 완화에 매우 유용한 도구입니다. 깔창은 발 아치를 인위적으로 형성하여 발바닥의 근육과 인대에 가해지는 스트레스를 줄이고, 체중 분산을 균일하게 만들어 발의 피로감을 경감시켜줍니다. 특히, 걷거나 서 있을 때 발이 받는 충격을 완화해 족저근막염의 통증을 줄이고, 발의 체형이 무너지지 않도록 돕습니다. 또한, 무지외반증으로 인해 엄지발가락에 집중되는 하중을 분산시키는 역할도 수행합니다.
평발이 유전으로 생기는 건가요?
부모 중 한쪽 또는 양쪽이 평발일 경우, 아이가 평발일 가능성이 높아집니다. 특히 유전적으로 발바닥 인대가 느슨한 경우 발 아치가 무너질 확률이 큽니다. 유전 외에도 비만, 발의 과도한 사용, 부적절한 신발 착용, 자세 불균형 등 후천적인 요인도 평발의 주요 원인입니다. 어린아이의 경우 생리적 평발(성장 과정에서 자연스럽게 나타나는 평발)은 시간에 따라 호전될 수 있으나, 유전적 요인이 강한 경우에는 교정이 필요할 확률이 높아집니다.
소아의 평발 치료는 언제 시작하는 것이 좋은가요?
발의 구조가 유연하고 성장 가능성이 높은 6세에서 12세 사이입니다. 발 뼈와 주변 조직들이 성인에 비해 아직 성숙되지 않았기 때문에, 올바른 자극과 교정을 제공하면 자연스럽게 발 아치가 형성될 가능성이 높습니다. 특히, 유연성 평발(발을 올려놓았을 때 아치가 보이거나 발가락을 들어 올리면 아치가 형성되는 경우)이라면 적절한 교정 운동과 깔창 착용만으로도 충분히 호전될 수 있습니다.
평발 교정을 너무 늦게 시작하면 이미 발뼈가 단단히 굳어져 있는 상태이기 때문에 교정 효과를 보는데 시간이 더 걸리게 됩니다.
평발 때문에 허리나 무릎이 아픈 것 같은데 관련이 있나요?
평발은 발의 아치가 무너져 체중 분산이 제대로 이루어지지 않아 발목과 무릎, 고관절, 척추까지 연쇄적으로 영향을 미칠 수 있습니다. 예를 들어, 발이 안정적으로 지지되지 않으면 다리 전체의 정렬이 틀어지고, 불균형한 하중이 무릎 관절과 허리에 과도하게 실리게 되어 무릎 관절염, 허리 디스크, 요통 등의 문제가 나타날 수 있습니다. 따라서 평발을 교정하면 이러한 통증과 체형 문제를 예방하고 완화할 수 있습니다. 정확한 원인은 전문 의료진의 진단을 통해 확인하시길 바랍니다.

연산당당한방병원
Before & After

해당 사진은 수정없는 실제 치료사진입니다.
환자의 치료결과는 환자의 상태, 치료방법 등에 따라 차이가 발생할 수 있습니다.

찾아오시는 길

부산광역시 연제구 월드컵대로 82, 1~8층

건물 주차장 무료 이용 가능합니다.

지하철 이용 시

1호선3호선 연산역 6번 출구에서 도보 460m

버스 이용 시

51번, 189번
  • 반도보라아파트
    하차 후 약 240m 거리 (물만골 방향)
  • 연산초등학교
    하차 후 약 200m 거리 (연산역 방향)

내원 전 간편하게 예약하세요!

홈페이지 내에 있는 모든 사진, 이미지, 디자인, 페이지에 대한 저작권 등의 권리는 연산당당한방병원에게 있습니다.
따라서 연산당당한방병원의 허락 없이 표절, 무단도용, 재편집을 금지합니다.

빠른상담

상담 신청을 위한 정보를 남겨주시면
보다 빠른 상담이 가능합니다.

로그인 후 이용해주세요.