051-861-7575
연산당당한방병원은
언제나 여러분들
곁에 있습니다.
  • 상호명 : 연산당당한방병원
  • 대표자 : 성진욱
  • 사업자등록번호 : 154-59-00644
  • 주소 : 부산광역시 연제구 월드컵대로 82, 1~8층

휜다리

혹시 안짱걸음 걷는 자녀에게
11자로 똑바로 걸으라고 주의를 주시나요?

11자 보행이 아닌 7~8도 정도의 각도로 발이 벌어지도록 걸어야 정상보행입니다.
보행교정은 전문가에게 맡겨주세요.

소아는 성인의 축소판이 아닙니다. 나이에 따라 걷는 방법이 달라집니다.
특히 안짱걸음은 고관절이 불안정하거나 하지부 후방근막이 짧아지거나 골반이 틀어지거나 하는 다양한 원인에 의해 생기기 때문에 원인 해결 없는 보행교정은 자녀를 더욱 힘들게 할 뿐입니다.

안짱걸음
초등학교 들어가기 전까지 지켜 보라던데?

안짱걸음의 경우 성장과정의 일부로 크면서
자연 회복되는 경우도 있지만
유연성 평발이 있는 경우엔 중학생이 되어도
회복되지 않는 경우가 흔합니다.

특히 유연성 평발과 동반된
심한 오리 궁둥이가 있는 경우라면
더더욱 조기에 치료하는 것이 좋습니다.

아이가 크면 좋아지겠지 하는 생각은 후회로 남을 뿐입니다.
그래서 보행은 진단이 중요합니다.

어느 부위의 문제인지
정확히 파악하는 것이 중요합니다.

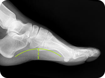
고관절 , 대퇴골, 경골, 거골, 중족골 중 어느 부위의 문제인지 정확히 파악하는 것이 중요합니다.

특히 거골이 안쪽으로 과도하게 틀어진 경우 6세 이후부터 서서히 그 굳어지기 때문에 6세이후에도 안짱걸음이 지속된다면 반드시 검사가 필요합니다.

발레하면 좋아진다던데?

안짱다리인 상태에서 억지로 발레동작으로 발끝을 바깥쪽으로 돌려 걷게 하면 고관절이나 무릎 관절 주위 근육, 인대에 무리한 부담을 주고 관절의 손상을 초래할 수도 있습니다.

무릎과 대퇴골이 내회전 된 경우에는 발레로 좋은 결과를 얻기도 하지만,
유연성 평발이 있는 경우에는 평발의 교정이 필수입니다.
또한, 특정 관절에 문제가 있다면 세밀한 접근이 필요합니다.

안짱걸음을 방치하면?

성장 저하
신체 불균형
무릎 통증
관절염 유발
골반전방경사(오리엉덩이)
연산당당한방병원의 안짱다리 교정

다리만 보는 것이 아니라 선 자세에서 신체 전체적인 평가를 하며, 앉았다 일어설 때, 걸을 때에 관절의 비정상적인 움직임을 진단합니다.
또한 골반과 대퇴골 경골의 회전과 틀어짐, 발 아치의 높이와 발의 비대칭까지 파악하여 원인을 교정합니다.

안짱다리 유형

대퇴골 내회전
허벅지 뼈가 안쪽으로 틀어진 경우
경골 내회전
종아리 뼈가 안쪽으로 틀어진 경우
중족골 내전
발이 안쪽으로 휘어 있는 경우

나도 혹시? 미리 체크해보는 자가진단 테스트

안짱다리 자가진단 테스트

  • 걷거나 뛸 때, 앞 발끝이 안쪽을 향해 있다.
  • 무릎 통증이 있다.
  • 잘 걷지 않으려고 한다.
  • 자주 자기 발에 걸려 넘어진다.
0개에 해당합니다.
1가지 이상이면 골반 틀어짐을 의심해볼 필요가 있습니다.

안짱다리 자가진단법

  1. 정자세로 천장을 보고 누워 한쪽 다리를 눕힌 채로 접어 올립니다.
    종아리가 반대편 무릎 위로 오도록 합니다.

    다리가 4자 모양이 되었을 때에, 허벅지가 바닥에서 많이 떠 있다면 안짱다리를 의심해 볼 수 있습니다.
  2. 걷거나 서 있을 때 무릎이 정면을 보고 있지 않고 약간 안쪽을 보고 있거나, 천장을 보고 누워 있을 때에 양쪽 발끝이 안쪽으로 모여 있다면 안짱다리를 의심해 볼 수 있습니다.
  3. 양쪽 발을 붙이고 섰을 때 무릎 사이에 주먹이 들어간다면 안짱다리를 의심해 볼 수 있습니다.

이제는 하세요!

당당 체형교정 검사 프로세스

원장님 상담
모아레 근육 균형 검사
체성분 검사
체열 검사
좌우 골반 수평 및 비틀림 측정
좌우 다리 길이와 틀어짐 측정
다리 근력 측정
엉덩이 관절의 염전각 측정
경골의 회전과 내반 측정
족궁 높이 측정
발 뒤꿈치 각도 검사
스텝랩 보행검사

당당의 안짱걸음 치료법

추나요법
발목과 발, 경골, 대퇴골,
골반의 부정렬을 바로 교정
도수치료
햄스트링, 대퇴근막장근
하퇴삼두근의 긴장을 이완하고
관절의 가동범위를 만듦
운동치료
약화된 고관절 외회전근육과
중둔근 대둔근등 정상 보행에
필요한 근육을 강화
보행교정
보행검사
보행의 속도 , 보폭, 보행각도등을 종합적으로 파악하는 검사
를 이용한
반복적인 피드백을 통해
3단계 보행 완성
맞춤깔창 제작
평발, 요족, 까치발,
발의 변형 등 족부 문제를
맞춤형 깔창으로 교정
6세 이후에도 지속되는 안짱걸음이라면 지금 꼭 검사해보세요.
유연성 평발이 있거나 구조적 문제가 동반된 경우 시간이 지나도 좋아지지 않습니다.
발의 비대칭부터 골반 틀어짐까지 종합적으로 평가하여 더 늦기전에 맞춤 교정을 시작하세요.
다시 생각해도 안짱다리 교정
연산당당한방병원입니다.
Q&A

모든 궁금증,
연산당당이 풀어드립니다.

아이의 안짱걸음, 성장하면서 자연스럽게 교정될까요?
성장기에 보기 드문 현상이 아니며, 대부분 뼈와 근육이 발달하면서 자연스럽게 교정됩니다. 특히, 6~8세까지는 정형 발달 과정에서 안짱걸음이 점차 개선될 가능성이 큽니다. 그러나 8~10세가 넘어도 안짱걸음이 지속되거나 심한 경우, 혹은 넘어지거나 걸을 때 불편함을 호소한다면 교정 치료가 필요합니다. 특히 8세 이전이더라도 평발이 심한경우는 관찰하지 마시고 적극적으로 치료하시는 것이 좋습니다.
한방 치료와 정형외과 치료의 차이는 무엇인가요?
정형외과는 X-ray나 MRI 등 영상 촬영을 통해 문제의 원인을 진단하고, 도수치료, 교정기 또는 심한 경우 수술적 치료를 제공합니다.
반면, 한방 치료는 추나요법으로 체형을 교정하여 근육 긴장을 완화하는 전체적인 신체 균형을 고려한 치료에 초점을 맞추고 있습니다.
안짱걸음의 치료가 늦어질 경우 어떤 문제가 생길수 있나요?
성장기 동안 다리 정렬 이상으로 인해 휜다리(O자형 다리), 골반 틀어짐, 척추측만증 등이 발생할 수 있습니다. 또, 관절에 불균형한 하중이 가해져 퇴행성 관절염, 보행 불균형, 발목 및 무릎 통증, 운동 능력 저하로 이어질 수 있습니다. 성장기에 교정하지 않으면 체형 불균형이 성인이 된 후에도 고착화되어 요통, 만성 관절 통증을 유발합니다. 또한, 아이가 외모에 민감한 시기에 체형 문제로 인해 자존감 저하와 대인 관계에서의 부정적인 영향을 받을 가능성도 있습니다.
“이렇게 걷는게 나쁜거예요?” 안짱걸음 걷는 아이가 치료를 거부해요. 어떻게 설득할 수 있을까요?
강요하기 보다는 공감과 긍정적인 접근을 통해 설득하는 것이 중요합니다. 먼저, 아이의 눈높이에 맞춰 치료 이유를 간단히 설명하세요. 예를 들어, “이렇게 하면 넘어지지 않고 더 빨리 뛸 수 있어” 긍정적인 메시지를 전달합니다. 또한, 치료를 놀이처럼 재미있게 느끼게 하고, 병원 방문을 모험처럼 소개하는 것도 효과적입니다. 아이가 두려움을 느낄 경우 “엄마가 옆에 있을게”라며 안심시키고, 작은 성과에도 칭찬과 보상을 제공하여 성취감을 키우세요. 끝으로, 의료진과의 협력을 통해 아이가 치료 환경에 친밀감을 갖도록 유도합니다. 치료는 두려운 활동이 아니라 재미있고 유익한 경험이라는 점을 꾸준히 강조해주세요.

연산당당한방병원
Before & After

해당 사진은 수정없는 실제 치료사진입니다.
환자의 치료결과는 환자의 상태, 치료방법 등에 따라 차이가 발생할 수 있습니다.

찾아오시는 길

부산광역시 연제구 월드컵대로 82, 1~8층

건물 주차장 무료 이용 가능합니다.

지하철 이용 시

1호선3호선 연산역 6번 출구에서 도보 460m

버스 이용 시

51번, 189번
  • 반도보라아파트
    하차 후 약 240m 거리 (물만골 방향)
  • 연산초등학교
    하차 후 약 200m 거리 (연산역 방향)

내원 전 간편하게 예약하세요!

홈페이지 내에 있는 모든 사진, 이미지, 디자인, 페이지에 대한 저작권 등의 권리는 연산당당한방병원에게 있습니다.
따라서 연산당당한방병원의 허락 없이 표절, 무단도용, 재편집을 금지합니다.

빠른상담

상담 신청을 위한 정보를 남겨주시면
보다 빠른 상담이 가능합니다.

로그인 후 이용해주세요.